메인 컨텐츠 영역
실시간 뉴스
헤드라인 뉴스
섹션2 바텀 영역
중요뉴스
최신뉴스
-
美 이노비바 단회 투여 경구용 액제 임질 치료 신약 ‘누졸벤스’(졸리플로다신) FDA 승인
-
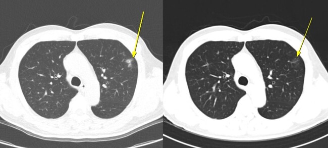
폐암 환자 수술 전·중·후 통합관리 프로그램 ‘ERAS’ 입원기간 단축 및 합병증 감소에 기여
-
신경차단술 최근 5년간 진료비 203% 증가 … 과잉시술 부작용 커
-
서울아산병원, 말기 폐부전 환자 300명에게 폐이식으로 새 삶 선물
-
GC녹십자, 질병청 ‘코로나19 mRNA 백신 임상 1상 지원 사업’ 선정
-
JW중외제약 ‘리바로젯’, 이상지질혈증 치료 복합제 시장점유율 2위 달성 … 유비스트 10월 집계서 8.61% 차지
-
국립암센터, 뽕나무 유래 천연물 ‘쿠와논-C’로 KRAS 돌연변이 폐암 내성 스위치 차단
-
건국대병원 “췌장암 항암 치료, TP53 유전자 변이로 예측 가능성 높여”
-
항암치료로 빈발하는 ‘피부 부작용’ 관리법 … 피부각화, 발진, 탈모, 손발톱약화 등
-
주간졸림증(EDS) 개선엔 악착같은 ‘끈기’(PE)보다 꾸준한 ‘흥미’(CI)가 중요
-
경보제약, ADC 연구센터 개소 … ADC 개발 및 생산 전주기 지원하는 CDMO 지향 첫발
-
AZ ‘코셀루고’ 국내 적응증 확대 … 수술 불가능한 신경섬유종증(NF1) 만3~18세에서 성인으로 넓혀
-
동아제약, 천안공장 글로벌 품질경영 구현 ‘품질혁신센터’ 준공 … 실험공간과 제조시설, 식당 완전 분리
-
암젠 ‘업리즈나’ 성인 전신 중증 근무력증 치료제로 FDA 추가 승인 … 통산 3번째 적응증
-
김태임 연세대 교수, 원추각막병증 및 근시 교정하는 시력 교정용 콘택트 렌즈 개발
힐링투어+더보기
여러 지역
'페낭' 길었던 10년간의 여정
칼럼 +더보기
-
만성 염증성 장질환 ‘크론병’ 정밀진단부터 환자맞춤 치료, 모니터링까지
크론병(Crohn’s disease)은 궤양성대장염과 함께 만성염증성장질환(Inflammatory Bowel Disease, IBD)을 대표하는 질환이다. 식도에서 항문까지 소화기관 전체에 걸쳐 염증이 발생할 수 있으며, 10~20대 젊은 연령층에서 주로 발병하여 장기적인 삶의 질(Quality of Life)에 큰 영향을 미친다. 국내 유병률이 꾸준히 증가하고 있는 상황에서, 더 빠르고 정확...
-
17일은 ‘세계 이른둥이의 날’ 어려움 이겨내고 건강하게 자랄 수 있다
의학적으로는 임신 주수 37주 미만(36주 6일까지)에 출산한 아기를 ‘이른둥이’라 한다. 이른둥이는 대부분 건강하게 잘 자라며, 혹여 건강상의 어려움을 겪더라도 이를 이겨낼 수 있다는 희망을 부각하기 위해 ‘미숙아’ ‘조산아’ 대신 ‘이른둥이’라는 한글 이름을 쓰는 추세다. 작게 태어난 이른둥이들은 엄...
섹션7 영역
의학건강
학술·치료
폐암 환자 수술 전·중·후 통합관리 프로그램 ‘ERAS’ 입원기간 단축 및 합병증 감소에 기여
-
2025-12-15학술·치료
서울아산병원, 말기 폐부전 환자 300명에게 폐이식으로 새 삶 선물
-
2025-12-15학술·치료
국립암센터, 뽕나무 유래 천연물 ‘쿠와논-C’로 KRAS 돌연변이 폐암 내성 스위치 차단
-
2025-12-15학술·치료
건국대병원 “췌장암 항암 치료, TP53 유전자 변이로 예측 가능성 높여”
-
2025-12-15생활건강
항암치료로 빈발하는 ‘피부 부작용’ 관리법 … 피부각화, 발진, 탈모, 손발톱약화 등
정책사회
정책사회
신경차단술 최근 5년간 진료비 203% 증가 … 과잉시술 부작용 커
-
2025-12-10정책사회
유명 의대 출신 사칭 ‘AI 가짜 의사’ 딥페이크 광고에 최대 5배 징벌적 배상 내린다
-
2025-12-10정책사회
병원 먹여살린 ‘도수치료’ 정부 비급여화 방침에 척추전문병원‧정형외과 극력 반발
-
2025-12-03정책사회
‘바이오의약품 CDMO 특별법’ 제정 … 수출 목적의 바이오의약품 제조업 등록제 도입
-
2025-11-27정책사회
식약처, 루트로핀(난임치료제), 클로르페니라민주사제(알레르기약) 등 국가필수의약품 10종 신규 지정
제약바이오
제약바이오 뉴스
GC녹십자, 질병청 ‘코로나19 mRNA 백신 임상 1상 지원 사업’ 선정
-
2025-12-15제약바이오 뉴스
JW중외제약 ‘리바로젯’, 이상지질혈증 치료 복합제 시장점유율 2위 달성 … 유비스트 10월 집계서 8.61% 차지
-
2025-12-15제약바이오 뉴스
경보제약, ADC 연구센터 개소 … ADC 개발 및 생산 전주기 지원하는 CDMO 지향 첫발
-
2025-12-15제약바이오 뉴스
AZ ‘코셀루고’ 국내 적응증 확대 … 수술 불가능한 신경섬유종증(NF1) 만3~18세에서 성인으로 넓혀
-
2025-12-12제약바이오 뉴스
동아제약, 천안공장 글로벌 품질경영 구현 ‘품질혁신센터’ 준공 … 실험공간과 제조시설, 식당 완전 분리
글로벌뉴스
글로벌 뉴스
美 이노비바 단회 투여 경구용 액제 임질 치료 신약 ‘누졸벤스’(졸리플로다신) FDA 승인
-
2025-12-12글로벌 뉴스
암젠 ‘업리즈나’ 성인 전신 중증 근무력증 치료제로 FDA 추가 승인 … 통산 3번째 적응증
-
2025-12-12글로벌 뉴스
美 베렌테라퓨틱스 ‘아드라베타덱스’ 영‧유아기 발병 C형 니만-피크병(NPC) FDA ‘혁신치료제’ 지정
-
2025-12-12글로벌 뉴스
덴마크 질랜드파마, 中 OTR테라퓨틱스와 다중 신약개발 전략적 제휴
-
2025-12-11글로벌 뉴스
伊 폰다치오네텔레톤, ‘비스코트-올드리치증후군’(WAS) 세포 기반 유전자치료제 승인
식품
건강기능식품
휴온스엔, ‘이너셋 오가닉 올리브유&레몬샷’ 출시 … 지중해식단을 스틱 한 포에 담은 아침공복 건강 솔루션
-
2025-11-06건강기능식품
GC녹십자웰빙 어니스트리 ‘모발·두피 건강 유산균’ 담은 신제품 ‘엘비모어’ 출시
-
2025-10-22건강기능식품
동국제약, ‘마이핏V 올인원 트리플 마스터팩’ 출시 … 1팩에 3개 정제 담아 간, 눈 건강, 혈행 개선 케어
-
2025-10-14건강기능식품
동아제약, ‘비타그란 유기농 레몬생강즙’ 출시 … 생강 레몬 7대3 비율로 배합, 100% 유기농 착즙 원액
-
2025-10-13건강기능식품
동국제약 건강몰, 마이핏 다이어트 라인 ‘애프터 추석’ 프로모션 … 최대 77% 할인 및 1+1 이벤트
의료기기
의료기기
대웅제약‧엑소시스템즈‧씨어스테크놀로지 3자 제휴 … 스마트 병동 모니터링 ‘씽크’에 근육기능 체크‧자…
-
2025-12-08의료기기
올림푸스한국, 차세대 외과용 영상 시스템 ‘비세라 에스’(VISERA S) 출시 … 이비인후과‧비뇨의학과‧산부인과 …
-
2025-12-04의료기기
종근당, 에이슬립과 디지털 수면무호흡 진단보조기기 ‘앱노트랙’ 공동 판매 … IT 기반 만성질환 융복합 진료…
-
2025-12-01의료기기
휴온스메디텍, 의약품 주입·고주파 결합 ‘더마샤인 듀오 RF’ 출시 … 단일 장비로 다양한 피부미용 시술
-
2025-11-27의료기기
GC지놈 혈액 기반 대장암 진단기술(프래그먼토믹스), 민감도 90.4%‧특이도 94.7% 입증



