회사로고

Top
기사 메일전송
50세 이하 젊은 유방암(치밀암), 수술전 MRI 검사하면 수술후 같은쪽 유방 내 국소재발 감소
  • 정종호 기자
  • 등록 2025-11-05 10:44:19
기사수정
  • 예후 나쁘고 재발률 높은 호르몬수용체(HR) 음성 유방암은 MRI군이 비MRI군 대비 재발 위험 60% 낮아
  • 서울대병원, 환자 4414명 중앙값 7.7년 장기 추적 결과 … 다른쪽 유방, HR양성, 구역(림프절) 재발률. 원격전이에선 차이 없어

수술 전 자기공명영상(MRI) 촬영이 50세 이하 유방암 환자의 재발 예방에 효과적이라는 사실을 서울대병원 연구팀이 규명했다. 특히 예후가 나쁘고, 재발률이 높은 ‘호르몬 수용체 음성 유방암’은 재발 위험이 60% 이상 낮아지는 것으로 나타났다. 이는 젊은 유방암 환자의 맞춤형 치료 가능성을 높이고, 유방 MRI 기반의 정교한 치료 계획을 수립하는 중요한 가이드라인이 될 것으로 기대된다.

 

유방암은 호르몬 수용체 유무에 따라 재발 양상이 다르다. 호르몬 수용체 음성 유방암은 양성 대비 재발률이 높다. 50세 이하 유방암 환자는 유방 조직이 치밀한 경우가 많아 조기 진단이 어려울 뿐 아니라, 호르몬 수용체 음성 유방암 발생률이 높다. 수술 후 같은 쪽 유방 내 재발(국소 재발) 가능성도 높기 때문에 정확한 진단과 최적화된 수술을 위해 수술 전 ‘유방 MRI’ 사용이 증가하는 추세다.

 

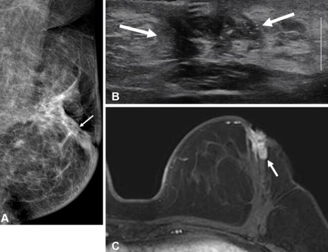
유방 MRI는 유방암 검사 중 가장 민감도가 높아 유방촬영술과 초음파에서 놓친 종양도 탐지할 수 있다. 그러나 젊은 환자의 수술 전 MRI 검사가 장기적 예후에 미치는 영향, 특히 호르몬 수용체 상태에 따른 영향은 명확히 규명되지 않았다. 수술 전 MRI 검사를 시행하지 않은 50세 이하 환자의 수술 2년 후 유방 영상 검사 결과. (A)유방촬영술 (B)유방초음파에선 동측 유방 내 재발이 발생함. (C)MRI에선 발견되지 않음

하수민·연희라 서울대병원 영상의학과 교수, 김홍규 유방내분비외과 교수팀은 2011~2017년에 수술 받은 50세 미만 유방암 환자 4414명을 대상으로, 수술 전 MRI 실시 여부에 따른 장기 예후를 비교한 결과를 5일 발표했다.

 

연구팀은 전체 환자를 MRI군(4118명)과 비MRI군(296명)으로 나눠 나이, 병기, 종양 크기 등을 통계적으로 보정했다. 이후 중앙값 7.7년간 후향적으로 추적해 5년 누적 재발률을 분석했다.

 

그 결과, 전체 재발률은 MRI군과 비MRI군에서 차이가 없었으나, 동측 유방 내 재발률은 MRI군이 유의미하게 낮았다(1.6% vs 3.3%). 

 

호르몬 수용체 상태에 따른 하위 분석 결과, ‘호르몬 수용체 음성’ 그룹에서 수술 전 MRI 검사 효과가 뚜렷했다. 이 그룹의 MRI군은 비MRI군보다 동측 유방 내 재발률이 현저히 낮았을 뿐 아니라, 전체 재발 위험도 60% 이상 감소했다(8.2% vs 20.7%). 반면 호르몬 수용체 양성 그룹에서는 유의한 차이가 없었다.

 

연구팀은 재발 위험이 높고 호르몬 치료 반응성이 낮은 호르몬 수용체 음성 유방암의 경우, 수술 전 MRI 검사가 정확한 진단과 치료 계획 수립을 돕고, 재발 예방에 기여할 수 있다고 설명했다. 한편 장기 생존율, 구역(림프절 및 근처 부위) 재발률, 반대쪽 유방 재발률, 원격 전이 발생률은 수술 전 MRI 시행 여부에 따른 유의미한 차이가 없었다. 연희라(왼쪽부터)·하수민 서울대병원 영상의학과 교수, 김홍규 유방내분비외과 교수

하수민 교수는 “이번 연구는 젊은 유방암 환자의 MRI 결과를 장기 추적한 것으로, 특히 호르몬 수용체 음성 그룹에서 수술 전 MRI의 뚜렷한 재발 예방 효과를 확인했다”며 “이 결과는 50세 이하 유방암 환자를 위한 선택적 MRI 적용 근거를 마련하고, 종양 유형에 따른 영상 검사 전략 수립에 기여할 것으로 기대된다”고 말했다.

 

이번 연구결과는 영상의학 분야 국제학술지 ‘Radiology’(IF=15.2)에 ‘Preoperative Breast MRI and Survival Outcomes in Women 50 Years or Younger with Breast Cancer’라는 논문으로 지난 8월에 게재됐다.

1
회원로그인

댓글 삭제

삭제한 댓글은 다시 복구할 수 없습니다.
그래도 삭제하시겠습니까?

인제대백병원
건국대병원
고려대학교의료원
코리아메디컬서비스
가톨릭중앙의료원
원자력병원
국립암센터
부광약품
한림대병원
동국제약
강동경희대학교병원
동화약품
한국얀센(존슨앤드존슨)
정관장몰
한국유나이티드제약
인하대병원
아주대병원
애브비
화이자
동아ST
신풍제약주식회사
모바일 버전 바로가기
중앙대병원 2026년 신년 현수막
하루 동안 이 창을 다시 열지 않음