-
- 안와골절 CT 진단에 딥러닝 기술 적용 … 정확도 99.5% 달성
- 신현진 건국대병원 안과 교수팀이 안와골절 진단과 분류를 위한 딥러닝 모델을 개발해 골절 검출에서 99.5%의 정확도를 달성하는 연구 성과를 국제학술지에 발...
- 2025-10-15
-
- 유승아 가톨릭대 교수팀, MIF(대식세포 이동억제 인자) 증가가 류마티스관절염 원인 규명
- 유승아 가톨릭대 의대 의생명과학교실 교수팀과 창의시스템의학연구센터 연구팀이 바이오기업 지바이오로직스(GBIOLOGICS, 대표 송동호)와 함께 류마티스관절...
- 2025-10-15
-
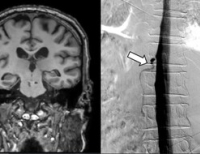
- 원인 못 찾던 뇌출혈 환자 4명, ‘뇌척수액 정맥 누공’으로 정밀진단, 세브란스서 모두 쾌차
- 연세대 세브란스병원이 ‘뇌척수액 정맥 누공’ 환자의 진단과 치료에 국내 최초로 성공했다. 이 질환은 자발성 두개내 저압증의 드문 형태 중 하나로 ...
- 2025-10-15
-
- 국립암센터, 1기 식도암 및 수술가능 식도암 임상연구 양성자치료 환자 등록률 86%, 87%
- 문성호 국립암센터 양성자치료센터 교수팀이 식도암의 양성자치료를 검증하는 △1기 식도암 근치적 양성자치료 전향적 2상 연구와 △수술 가능 식도암 선행...
- 2025-10-15
-
- 권성훈 서울대 교수팀, 하루 만에 의약품 무균 여부 판별하는 신속 검사법 개발
- 권성훈 서울대 전기정보공학부 교수, 이은주 서울대병원 의생명과학과 교수, 김태현 고려대 KU-KIST 융합대학원 교수, 강준원 서울대 박사, 김하민 연구원, 장해...
- 2025-10-14
-
- 소아 지방간 예측에 체질량지수(BMI)보다 ‘허리-엉덩이 비율’(WHR) 지표가 더 정확
- 최유진 인제대 일산백병원 소아청소년과 교수는 국내 6개 대학병원 소아청소년과와 공동으로 진행한 연구에서, 허리-엉덩이 비율(WHR, Waist-to-Hip Ratio WHR)이 소...
- 2025-10-14
-
- 인하대병원, 내시경 지혈술 분말제 ‘넥스파우더’ 위장관 출혈 재발 예방 효과 증명
- 신종범 인하대병원은 소화기내과 교수팀(권계숙, 차보람, 홍지택)은 홍수진 순천향대 부천병원, 김경오 가천대 길병원 소화기내과 교수팀과 공동으로 비정맥...
- 2025-10-14
-
- 집에서 찍은 1분 영상으로 AI가 분석해 자폐 위험 조기 선별
- 집에서 찍은 짧은 영상만으로도 자폐 아동을 조기 선별할 수 길이 열렸다. 서울대병원이 주관하고 세브란스병원이 참여한 공동 연구팀은 부모가 촬영한 1분짜...
- 2025-10-14
-
- 병원 밖 심정지, 30분 이내 응급실 이송 시 사망률 및 심각한 뇌 손상 53% 이상 감소
- 30분 이내 응급실 이송이 병원 밖에서 발생한 심정지 환자의 생존율을 높인다는 사실이 대규모 국가 데이터 분석을 통해 명확히 입증됐다. 이오현‧배성아‧...
- 2025-10-14
-
- 중등도 대동맥판막협착에 중등도 대동맥판막역류 공존하면 중증 환자만큼 위험
- 대동맥판막이 두꺼워져 제대로 열리지 않는 대동맥판막협착과 판막이 헐거워 피가 거꾸로 흐르는 대동맥판막역류가 동시에 나타난 경우에 중증만큼 위험해 ...
- 2025-10-14
-
- 나정임 분당서울대병원 교수팀, 글로벌 피부질환 ‘실시간 현황’ 보여주는 세계지도 개발
- 세계 각국의 피부질환 발병 현황과 국민 관심도를 실시간으로 보여주는 ‘피부질환 세계지도’가 국내서 개발됐다. 세계보건기구(WHO)조차 국가별 피부...
- 2025-10-14
-
- 40세 이전 조기 폐경 여성 복부대동맥류 발생 위험 2배 높아 … 선별검사 필요
- 폐경이 오면 여성호르몬이 급격히 줄어들며 골다공증, 치매 등 다양한 만성질환의 위험이 높아진다. 조기 폐경 여성에서 복부대동맥류 발생 위험이 유의하게 ...
- 2025-10-13
-
- 만성췌장염은 물론 급성췌장염, 췌장암, 췌장수술 후에도 췌장효소대체요법(PERT) 적용 필요
- 췌장질환 환자에게 췌장효소대체요법(PERT) 적용이 시급하다는 주장이 나왔다. 그동안 만성 췌장염 환자 위주로 시행돼 온 PERT를 급성 췌장염, 진행성 췌장암, ...
- 2025-10-02
-
- 서울대병원, 항섬유화 유전자 ‘TIF1γ’ 간·신장에 이어 폐 섬유화 치료 효과 확인
- 심각한 호흡장애를 초래할 수 있지만 마땅한 치료 방법이 없던 폐 섬유증에 대한 유전자 치료 가능성이 제시됐다. 섬유화 억제 유전자 ‘TIF1γ’가 ...
- 2025-10-02
-
- 액티브 노이즈 캔슬링(소음의 반대파동으로 상쇄), 소음 차단 넘어 뇌 집중력까지 높인다
- 액티브 노이즈 캔슬링(ANC, Active Noise Cancellation)이 소음을 줄이는 것을 넘어, 집중력 유지에 도움이 된다는 연구 결과가 나왔다. 액티브 노이즈 캔슬링은 외부 ...
- 2025-10-01
-
- 서울아산병원, 인공지능으로 X-레이 영상 판독해 신생아 생명 위협 ‘장천공’ 조기 진단
- 신생아 장천공은 괴사성 장염 등으로 인해 장에 구멍이 생겨 생명까지 위협하는 치명적인 질환이다. 진단을 위해 X-레이 검사로 복강 내 공기가 차 있는지 확...
- 2025-10-01
-
- 평소보다 음주량 늘었다면 ‘위암’ 주의 … 금주, 절주하면 위험 줄어
- 비(非) 음주자가 술을 마시기 시작하거나, 기존 음주자가 섭취량을 늘리는 등의 음주 행태 변화가 위암 발생 위험에 큰 영향을 미친다는 연구결과가 나왔다. ...
- 2025-10-01
-
- 서울대병원, BRF2 변이로 인한 새 희귀질환 발생 기전 세계 최초 규명
- 원인을 모르는 면역결핍, 발달장애, 림프종을 앓아 왔던 환자와 가족이 16년만에 유전적 원인을 찾았다. 국내 연구진이 세포 항상성 유지에 필수적인 ‘BRF2 ...
- 2025-09-30