회사로고

Top
기사 메일전송
길어 보이고 시린 앞니, ‘잇몸 살리기’로 건강과 미소 되찾다 … 맞춤형 치료 중요
  • 정종호 기자
  • 등록 2026-02-13 09:39:18
기사수정
  • 선천적으로 얇은 잇몸·치아교정 후 내려앉은 잇몸 … 방치하면 치아 수명 단축
  • 잇몸절개견인술(치관판막술), 자가잇몸 이식술, 대체진피 이식술, 최소침습적 ‘VISTA’ 기법 등 다양

거울을 볼 때 앞니가 유독 길어 보이거나 웃을 때 치아 뿌리가 드러나 스트레스를 받는 이들이 늘고 있다. 이는 잇몸이 치아 뿌리 방향으로 내려앉는 ‘치은 퇴축’ 현상으로 단순히 보기 싫은 것을 넘어 찬물에 시린 증상과 뿌리 충치를 유발해 치아 수명을 단축시키는 주원인이 된다.

 

치은 퇴축은 잘못된 칫솔질 습관뿐만 아니라 선천적으로 잇몸뼈와 잇몸이 얇은 경우로 인해 흔히 발생한다. 특히 치아교정 등으로 치아가 이동하는 과정에서 얇은 잇몸이 버티지 못해 퇴축이 진행되는 경우도 있어 세심한 주의가 필요하다.

 

이러한 문제를 해결하는 치료법이 바로 ‘치근피개술’(잇몸재건술)’이다. 노출된 치아 뿌리를 다시 튼튼한 잇몸으로 덮어주어 심미성을 회복하고 치아를 보호하는 술식이다.

 

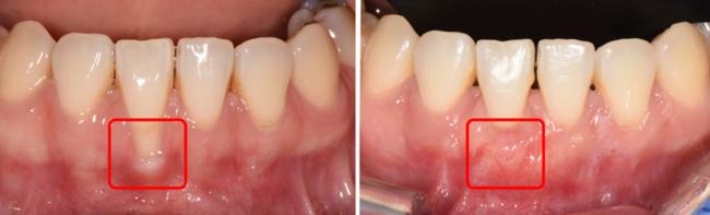
치주과적인 학문적 근거에 기반한 가장 정석적인 방법은 잇몸을 절개하여 끌어올리는 방식(치관판막술, Coronally Advanced Flap, CAF)과 ‘자가잇몸이식술(Subepithelial Connective Tissue Graft, SCTG)’을 병행하는 것이다. 잇몸을 치아 쪽으로 올리면서 환자 본인의 입천장에서 튼튼한 잇몸 조직을 떼어와 이식하는 방식이다. 생착률이 매우 높으며 얇은 잇몸이나 노출된 치아 뿌리를 다시 잇몸으로 덮어 확실하게 개선할 수 있다.치은이 퇴축된 모습(왼쪽)과 치근피개술 후 잇몸이 재건된 모습

최근에는 입천장에서 조직을 떼어낼 때의 통증을 줄이고 회복을 빠르게 돕는 다양한 수술 기법들이 시도되고 있다. 자가조직 대신 안전하게 가공된 대체 진피(ADM)를 사용하여 수술 후 통증을 획기적으로 줄일 수 있다. 또 잇몸 전체를 절개하지 않고 미세한 구멍을 통해 접근해 잇몸을 들어 올려 덮어주는 터널링 기법의 최소침습적 수술인 ‘VISTA’(Vestibular Incision Subperiosteal Tunnel Access) 기법도 있다. 

 

김현 고려대 안산병원 치주과 교수는 “치은 퇴축 치료는 단순히 치아 뿌리를 덮는 것을 넘어 환자가 가진 현재의 잇몸 높이와 뼈 상태를 고려해 학문적 근거를 바탕으로 한 맞춤형 치료 설계와 술자의 경험이 성패를 좌우한다”고 설명했다. 김현 고려대 안산병원 치주과 교수

이어 김 교수는 “앞니와 같은 심미적인 부위는 흉터가 남지 않도록 미세 미경이나 확대경을 이용한 미세수술이 유리하다”며 “환자의 상황에 따라 ‘자가이식의 안정성’이 필요한지, ‘대체 진피를 통한 수술 후 통증 감소’가 유리할지를 정확히 판단해 줄 수 있는 전문가와 상담해 보는 것이 중요하다”고 강조했다. 아울러 “교정치료 전후 잇몸이 얇아질 우려가 있거나 이미 뿌리가 드러난 경우에도 적절한 시기에 잇몸재건술을 시행하면 건강하고 아름다운 잇몸 라인을 되찾을 수 있다”고 조언했다.

1
회원로그인

댓글 삭제

삭제한 댓글은 다시 복구할 수 없습니다.
그래도 삭제하시겠습니까?

인제대백병원
건국대병원
고려대학교의료원
코리아메디컬서비스
가톨릭중앙의료원
국립암센터
부광약품
한림대병원
동국제약
강동경희대학교병원
동화약품
한국얀센(존슨앤드존슨)
정관장몰
한국유나이티드제약
인하대병원
아주대병원
애브비
화이자
동아ST
신풍제약주식회사
모바일 버전 바로가기